Mladý vedec zachraňuje životy. Má len 13 rokov a už vie, ako pomôcť pri liečbe rakoviny
Máte vypnuté reklamy
Vďaka financiám z reklamy prinášame kvalitné a objektívne informácie. Povoľte si prosím zobrazovanie reklamy na našom webe. Ďakujeme, že podporujete kvalitnú žurnalistiku.
OREGON / Má len 13 rokov a už vie, ako pomôcť s liečbou rakoviny pankreasu. Jeho vynález je určený lekárom pri CT alebo magnetickej rezonancii. Nový algoritmus z hlavy mladého vedca oceňujú aj skúsení rádiológovia. Rishab za svoj vynález získal nielen uznanie, ale aj prestížne ocenenie.
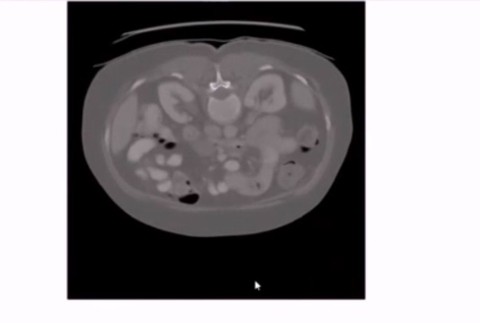
Mladý vedec menom Rishab, ohromil medikov po celom svete. Má len 13 rokov, pochádza z Oregonu a vymyslel spôsob, ako včas diagnostikovať rakovinu pankreasu a zachrániť tak život množstvu pacientov. Jedinečnosť jeho vynálezu spočíva v rýchlej lokalizácii orgánu. "Skúšal som svoje zariadenie na CT a magnetickej rezonancii. Algoritmus funguje cez umelú inteligenciu, ktorá dokáže veľmi rýchlo nájsť pankreas. Človek potom strávi pod žiareniím oveľa menej času než doteraz," uviedol mladý vedec Rishab Jain.
Mladý vedec zachraňuje životy. Má len 13 rokov a už vie ako pomôcť pri liečbe rakoviny
Aj podľa skúsených odborníkov nie je vždy jednoduché tento orgán v ľudskom tele nájsť. Systém z hlavy mladého vedca môže pomôcť nielen pri jeho kontrole, ale aj prípadnej operácii. "Aj skúseným rádiológom môže niekedy trvať niekoľko hodín, kým zistia, kde presne sa pankreas nachádza. Je veľmi zložité nájsť ho, pretože je za žalúdkom a hneď vedľa chrbtice, čo býva pri operáciách veľmi zložité," objasnil Rishab.
Rishb sa výskumom začal zaoberať minulý rok, keď na túto zákernú chorobu zomrel jeho rodinný priateľ. Jeho snaha pomôcť medicíne v tejto oblasti mu vyniesla aj ocenenie na konferencii mladých vedcov v New Yorku.
Pozrite si aj reportáž o vynáleze, ktorý dokáže jednoduchým spôsobom zlepšiť hygienu: