Keď doktor zbadal zuby chlapca (3), neveril vlastným očiam
Máte vypnuté reklamy
Vďaka financiám z reklamy prinášame kvalitné a objektívne informácie. Povoľte si prosím zobrazovanie reklamy na našom webe. Ďakujeme, že podporujete kvalitnú žurnalistiku.
Zdroj: RobBeaglehole/StuffNZ
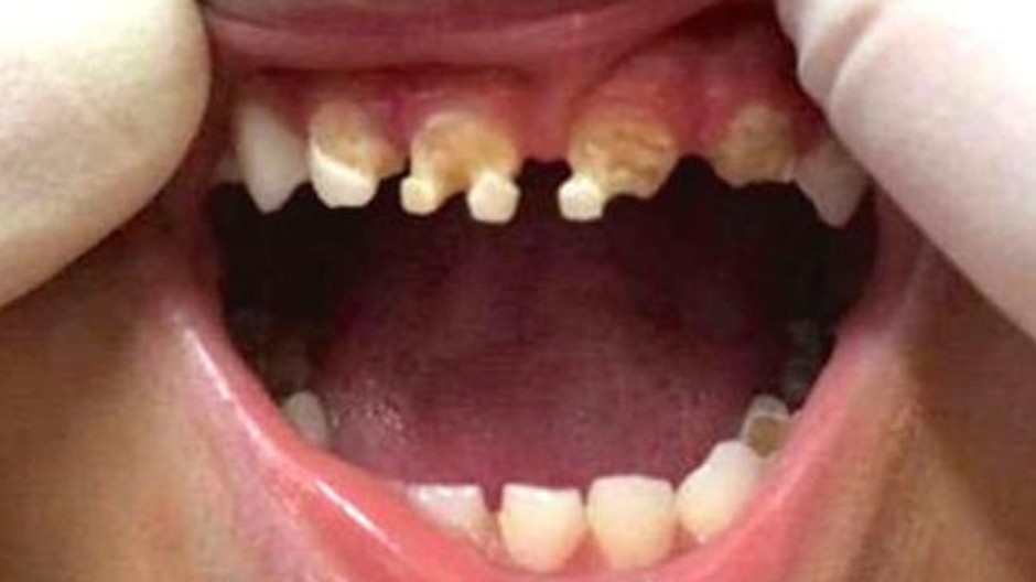
WELLINGTON / Starostlivosť o zuby je veľmi dôležitá. To treba od detstva vštepovať aj ratolestiam. Zubár na Novom Zélande preto zostal veľmi zaskočený, keď prišiel na kontrolu 3-ročný chlapec. Musel mu vytrhnúť 11 zubov.
Výskyt zubného kazu u detí sa začína zubyšíriť ako epidémia. Lekári na Novom Zélande museli vytiahnuť 11 pokazených zubov trojročnému chlapcovi, pretože boli úplne zhnité! Je všeobecné známe, že kazy spôsobujú sladkosti a sladké nápoje a inak tomu nebolo ani v prípade tohto chlapca, píš portál heroviral.com.
Skúste si spočítať, koľko litrov sladkých limonád a cukroviniek vaše dieťa počas dňa skonzumuje. Jediným kľúčom pre vyriešenie tohto problému je úplné odstránenie sladkostí a sladkých nápojov z jedálnička vášho dieťaťa.
Tiež je naozaj dôležité, aby si vaše deti čistili zuby minimálne dvakrát denne, každé ráno a každý večer. To, čo sa deti naučia ako malé, si ďalej prenesú do ďalšieho vývoja ich života. Starostlivosť o zuby je dôležitá a liečba skazených zubov je bolestivá, nebezpečná a finančne nákladná.
Pozrite si archívnu reportáž: